Before / After Smile Gallery
This wonderful patient achieved a straighter, brighter smile with ClearCorrect clear aligners for discreet teeth straightening, followed by our professional take-home bleaching kit for that natural, glowing white boost! No braces, no hassle – just confident, beautiful results.
At Pleasant Dental in Parma, OH, we're passionate about creating smiles that light up the room!
Ready for your own transformation with ClearCorrect aligners, professional teeth whitening, or a full cosmetic consult? We're conveniently located and here to help families across Parma, Parma Heights, Seven Hills, Brooklyn, and beyond.
1414 West Pleasant Valley Rd, Parma, OH 44134 Call us at 440-886-2177 to book your FREE consultation today!
Let's get you smiling brighter
#ClearCorrect #ClearAligners #TeethWhitening #SmileMakeover #BeforeAndAfter #CosmeticDentistry #ParmaOH #ParmaDentist #OhioDentist #DentistNearMe #PleasantDental
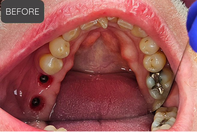
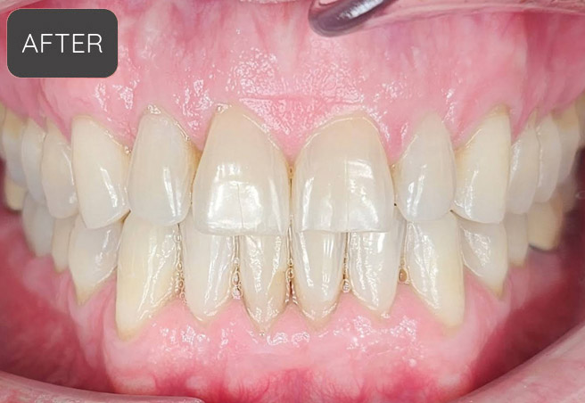
This patient came to our office with a cracked lower denture and severely damaged upper teeth that could not be saved. Chewing was difficult, and the dentures no longer felt secure or comfortable.
We restored the patient’s smile and function using All-on-X full-arch dental implants. A total of six dental implants were placed in the upper jaw and six in the lower jaw, providing a strong, stable foundation for custom zirconia fixed bridges.
The result is a permanent, non-removable set of teeth that looks natural, feels secure, and allows the patient to eat, speak, and smile with confidence again.
Benefits of All-on-X Dental Implants:
- Fixed teeth that do not move or slip
- Strong, long-lasting zirconia bridges
- Improved chewing and speech
- Natural-looking smile
- No removable dentures
This case highlights how full-mouth dental implants can replace failing teeth and dentures with a long-term, comfortable solution.
